Learning Resources
Learning Resources at Hameed Gul Memorial Ultrasound Institute and Clinics
At Hameed Gul Memorial Ultrasound Institute and Clinics, we take pride in offering a comprehensive and continually growing collection of ultrasound images and videos. Our archive spans the full spectrum—from the ultrasound appearance of normal anatomical structures to a wide range of pathological findings, including rare and complex cases seldom encountered in routine practice.
These valuable learning resources are meticulously curated and stored in our secure database. We regularly feature selected images and videos on our official website, providing an open platform for trainees, educators, and ultrasound professionals to engage in knowledge sharing, clinical discussion, and collaborative learning.
In addition to our internal contributions, we strongly encourage and welcome submissions from our esteemed colleagues, faculty members, and outstanding students. Shared contributions are published on our website with full credit to the contributor, showcasing their work and promoting a spirit of academic collaboration.
Our goal is to foster a vibrant educational community centered around diagnostic excellence and continuous learning in the field of ultrasound imaging.
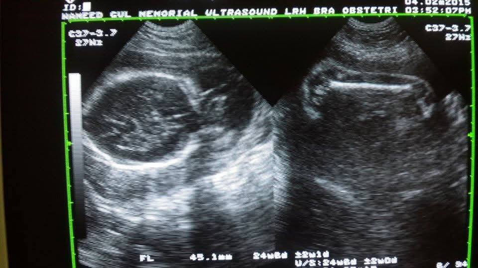
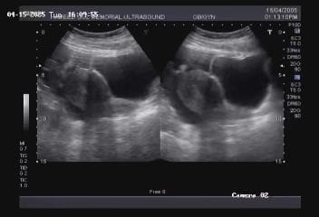
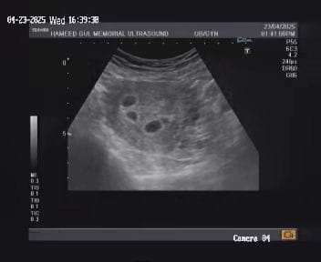
Ultrasound images
Our institutue provides high-quality ultrasound imagies for various diagnostic applications. these images serve as essential tools for accurate diagnostic and treatment planning.
doppler imagies
Doppler ultrasound provides critical information about the blood flow within vessels and tissues, enabling precise diagnosis of vascular conditions.














